
Những trường hợp không nên bọc răng sứ
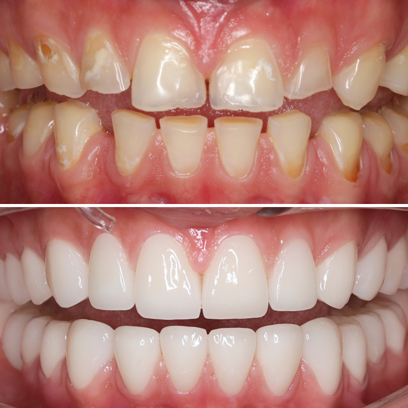
Bọc răng sứ thẩm mỹ là giải pháp nha khoa hiện đại. Được nhiều người lựa chọn để khắc phục các bệnh lý răng miệng.
Bọc răng sứ thẩm mỹ là phương pháp “mặc áo ngoài” cho răng, mang đến cho hàm răng một diện mạo hoàn toàn mới. Cách bọc răng sứ được thực hiện như sau: Trước tiên, bác sĩ sẽ mài đi một phần răng thật; sau đó thực hiện lấy dấu răng và chế tác mão răng sứ; cuối cùng, chụp răng sứ lên trên sao cho khít sát với răng thật, không gây cộm vướng khi ăn nhai, đảm bảo thẩm mỹ và ổn định chức năng nhai, hạn chế các bệnh lý về răng miệng.
Được làm bằng hợp kim, kim loại titanium, kim loại quý hoặc sứ.
Được làm bằng sứ nguyên chất, có thể lựa chọn màu sắc sao cho đồng màu với răng thật.




Hoàn toàn miễn phí
Khám răng 1:1 miễn phí cùng bác sĩ
Không phát sinh thêm chi phí
Dịch vụ lâu dài
Hệ thống máy CT Nha khoa kỹ thuật số 3 trong 1 bao gồm: CT Cone Beam 3D, Panorama và Cephalo.
Mặc dù bất đồng ngôn ngữ, nhưng bác sĩ và nhân viên của Việt Hàn vẫn luôn hỗ trợ nhiệt tình và cố gắng hiểu hết những nguyện vọng của tôi. Các bạn làm việc rất chuyên nghiệp! Tôi không muốn có bất kỳ một sai sót nào xảy ra vì vậy đã rất khắt khe, nhưng các bạn luôn bình tĩnh giúp tôi có một nụ cười hoàn hảo.
Mình không ngờ ở Nha Trang lại có 1 nha khoa uy tín, chuyên nghiệp như thế này. Mình từng thăm khám một vài cơ sở ở Sài Gòn, nhưng chỉ có Việt Hàn mới đem đến cảm giác yên tâm và giá cả rõ ràng. Mình đã đặt niềm tin đúng chỗ và nhận lại là một nụ cười tự tin, xinh đẹp.
Mình vừa hoàn thành làm 6 răng sứ cửa tại Nha Khoa Việt Hàn. Quá trình làm răng diễn ra nhẹ nhàng hơn mình nghĩ. Bác sĩ Thịnh tay nghề cao, làm cẩn thận từng chút nên mình khá yên tâm. Trong suốt quá trình, các bạn phụ tá cũng luôn hỏi han, hỗ trợ rất chu đáo.
Chi phí bọc bảo sứ tại Nha khoa Việt Hàn phụ thuộc vào các yếu tố:
Mức chi phí cho việc bọc răng sứ sẽ dao động tuỳ theo độ khó của chiếc răng cũng như phương pháp bọc răng sứ mà bạn lựa chọn.
Vì vậy để biết chính xác về chi phí bọc răng sứ của mình, bạn hãy tham khảo bảng giá chi tiết trên, cũng như đặt lịch hẹn đến Nha khoa Việt Hàn thăm khám trực tiếp để biết được phương án điều trị phù hợp nhất.
Tâm lý sợ đau nhiều người lo ngại làm răng sứ có đau không . Với sự phát triển vượt bậc của các kỹ thuật tại nha khoa, hiện nay việc trồng răng sứ thẩm mỹ đã giảm cảm giác giác ê lo lắng, khó chịu cho khách hàng. Tại Nha khoa Nhân Tâm, trước khi bọc răng sứ, bác sĩ sẽ gây tê vùng điều trị, hơn nữa bác sĩ còn áp dụng kỹ thuật mài răng hiện đại với tiêu chí răng tối thiểu, không xâm lấn đến khung, vì thế bạn không cần quá loát răng có đau mà hãy giữ tâm lý thật thoải mái khi làm.
Với câu hỏi bọc răng sứ có bị hôi miệng không thì Nha khoa Việt Hàn xin trả lời rằng, bọc răng sứ hoàn toàn không gây ra mùi hôi miệng. Tuy nhiên, nếu như chất lượng răng sứ không được đảm bảo, quá trình bọc răng sứ không đúng kỹ thuật, răng sứ không khít sát với răng thật mà còn khe hở thì rất dễ gây nhồi nhét thức ăn, hoặc do bạn vệ sinh răng miệng không đúng cách thì sẽ dẫn đến tình trạng hơi thở có mùi.
Việc có nên làm răng sứ hay không sẽ tùy thuộc vào tình trạng răng cũng như nhu cầu của bạn. Nếu như hàm răng của bạn mắc phải các khiếm khuyết như răng bị sâu vỡ, sứt mẻ, màu răng ố vàng,… thì bọc răng sứ sẽ là sự lựa chọn tối ưu giúp bạn cải thiện thẩm mỹ cho hàm răng và sở hữu nụ cười rạng rỡ, đầy tự tin. Tuy nhiên, nếu răng của bạn bị hô, lệch lạc ở mức độ nghiêm trọng; răng quá nhạy cảm; răng bị sâu, viêm nha chu, nhiễm trùng nặng; răng yếu, lung lay,… thì khi hỏi có nên làm răng sứ thẩm mỹ không, câu trả lời sẽ là không nên vì nếu thực hiện sẽ khiến răng bọc sứ bị đau và gây nên nhiều biến chứng nguy hiểm khác.
Bất cứ ai khi làm răng sứ đều quan tâm đến vấn đề bọc răng sứ có bền không? Bọc răng sứ có được vĩnh viễn không? Bọc răng sứ được bao lâu? Bạn cần biết rằng, răng sứ sẽ không thể duy trì vĩnh viễn bởi chúng cũng phải chịu những tác động cơ học, hóa học trong quá trình sử dụng. Nhưng nếu bạn lựa chọn vật liệu sứ có chất lượng cao, thực hiện tại những địa chỉ uy tín và có cách chăm sóc răng sứ đúng đắn thì chắc chắn, răng sứ sẽ tồn tại và duy trì độ bền đẹp lâu nhất có thể.
So sánh giữa răng sứ Cercon và Emax cho thấy Emax có nhiều điểm nổi bật hơn, nhưng không quá nhiều. Răng sứ Emax sẽ cho cảm giác răng đẹp hơn, tự nhiên hơn nếu xuất hiện thường xuyên trên sân khấu và trước công chúng. Còn nếu bạn không cần quá khắt khe hay sử dụng trong cuộc sống hàng ngày thì răng sứ Cercon đã đủ đáp ứng cho bạn về mặt thẩm mỹ và chức năng ăn nhai. Đến với Nha Khoa Việt Hàn, bạn sẽ được thăm khám và tư vấn phương pháp phù hợp với mình, cũng như được báo giá cụ thể các loại răng sứ phổ biến nhất.
Thời hạn bảo hành của răng sứ tùy thuộc vào từng loại và giá cả. Răng sứ kim loại có giá thành tương đối rẻ và thời hạn bảo hành từ 2 – 4 năm, còn răng toàn sứ cao cấp có giá cao hơn và thời gian bảo hành từ 6 – 12 năm. Ngoài ra, thời gian bảo hành còn phụ thuộc vào mức độ uy tín của trung tâm nha khoa mà bạn lựa chọn.
Bước 1: Thăm khám tổng quát, chụp phim CT và tư vấn.
Bước 2: Thiết kế nụ cười, lập kế hoạch điều trị.
Bước 3: Vệ sinh răng miệng và gây tê.
Bước 4: Mài cùi, lấy dấu răng.
Bước 5: Thiết kế răng sứ.
Bước 6: Gắn răng sứ.
Bước 7: Hướng dẫn chăm sóc răng miệng.
Tin mới & Chương trình khuyến mãi

Bọc răng sứ thẩm mỹ là giải pháp nha khoa hiện đại. Được nhiều người lựa chọn để khắc phục các bệnh lý răng miệng.

Trồng răng sứ bị đen chân răng là tình trạng khiến nhiều Cô Chú, Anh Chị lo lắng sau khi làm cầu răng sứ. Không

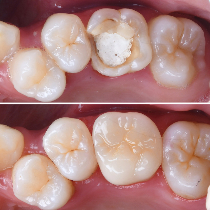
Thực chất, mài răng là một trong những bước quan trọng để răng có thể gắn sứ lên trên. Giúp tăng cường độ bám và
Nụ cười mới – Thành công mới